e-shop

|  acceso/registro  |

contacto  |

logo_BD_blanco (1)

T-Marker™
Fotogrametría Clínica Viable

Controla la pasividad desde la primera captura.
Sin hardware complejo. Sin repetir estructuras. Sin incertidumbre.

Level Up Your Precision con Alpha-Bio Iberia.

30 minutos. Un antes y un después en cómo registras tus casos.

Hasta
- 0 %

En tiempo de captura

Hasta
- 0 %

En tiempo de aprendizaje

Hasta
- 0 %

En inversión inicial

Así funciona T-Marker™

De la captura a la pasividad en segundos

Descubre cómo capturar la posición real de los implantes con precisión y llevarla directamente al flujo digital para conseguir ajuste pasivo desde el inicio.

El problema no es colocar implantes,
es hacer que todo encaje.

En rehabilitaciones completas, el error empieza en el registro.

Cada desviación se traduce en tensiones, ajustes, repeticiones, tiempo perdido... Y lo sabes, porque lo has vivido en clínica.

¿Qué es T-Marker™?

T-Marker™ es un sistema de fotogrametría digital diseñado para capturar con alta precisión la posición de los Multi-Unit en rehabilitaciones completas.

Funciona con iPad Pro y marcadores físicos inteligentes, generando archivos STL abiertos listos para laboratorio.

Sin cámaras externas. Sin hardware complejo.
Solo captura precisa, directa y reproducible.

En esencia: Una nueva forma de registrar casos All-on-X con control real desde clínica.

¿Por qué usarlo?

Porque el problema no es escanear. El problema es la pasividad.

Cuando la estructura no asienta:

  • Pierdes tiempo.
  • Repites procesos.
  • Comprometes resultados.

T-Marker™ elimina esa incertidumbre desde el origen. Captura la posición real de los Multi-Unit Alpha-Arch con una precisión media en rango clínico de sistemas de alto coste, permitiendo fabricar estructuras con ajuste pasivo real desde el primer diseño.

No es tecnología. Es control clínico.

T-Marker™
cambia el punto de partida

Solo necesitas un iPad o tu iPhone

T-Marker™ es un sistema de fotogrametría clínica que utiliza la potencia del iPad para capturar con precisión micrométrica la posición tridimensional de los Multi-Unit en rehabilitaciones Full-Arch, sin necesidad de cámaras externas ni hardware específico.

Esta tecnología se basa en el uso de marcadores inteligentes (T-Markers) que, mediante un flujo guiado y validado en tiempo real, permiten registrar la posición exacta de los implantes desde clínica, eliminando la dependencia del escaneado convencional y los errores derivados de la interpolación o el stitching.

El resultado:

Un registro preciso desde el origen, estructuras con ajuste pasivo real y un flujo de trabajo más predecible, eficiente y accesible. Todo ello con una inversión optimizada y una integración directa en el día a día de la consulta.

T-Marker™ disponible en exclusiva con Alpha-Bio Iberia En España y Portugal.

T-Marker es el primer sistema de fotogrametría dental compacto que utiliza la potencia del iPad Pro o un iPhone para capturar posiciones de implantes con precisión micrométrica (~20–30 micras).

No mejora el flujo. Lo redefine desde el origen.

¿Por qué usar T-Marker™?

El gran límite

de la fotogrametría en clínica

Inversión elevada, hardware específico y curva de aprendizaje compleja.

Fotogrametría precisa
al alcance de unos pocos

T-Marker™

Fotogrametría Clínica Viable

Precisión micrométrica sin barreras de entrada

Sin inversiones de 20.000€, ni cámaras dedicadas, ni complejidad técnica. Solo lo necesario para trabajar mejor.

Durante años, la fotogrametría ha sido una herramienta asociada a alta precisión, pero también a una barrera de entrada importante. Equipos dedicados, inversiones elevadas y una operativa poco accesible han limitado su uso a entornos muy concretos.

Con T-Marker™, este escenario cambia. La fotogrametría deja de ser una tecnología compleja para convertirse en una solución clínica viable: basada en un iPad, integrada en el flujo habitual y con una inversión asumible. Esto permite trasladar la precisión real al día a día de la consulta, sin fricción y sin necesidad de transformar por completo la infraestructura existente.

Pero el verdadero valor de la fotogrametría está en lo que permite conseguir: un registro con precisión micrométrica de la posición de los implantes. Esta exactitud es la base para lograr estructuras con ajuste pasivo real, minimizando tensiones, evitando correcciones en clínica y asegurando un resultado predecible desde la primera prueba. Porque cuando el registro es preciso, todo lo que viene después deja de depender de ajustes y pasa a ser ejecución.

Ventajas claves de T-Marker™

Precisión clínica real

Captura tridimensional exacta de Multi-Unit

Accesibilidad económica

Accede a fotogrametría sin inversiones de 20.000€

Flujo abierto

Archivos STL compatibles con Exocad y 3Shape

Portabilidad total

Sin configuraciones complejas

Reducción de repeticiones

Menos ajustes, menos citas, más eficiencia

Pensado para carga inmediata

Mayor previsibilidad en provisionales y definitivos

Flujo de trabajo digital con T-Marker™

Full Arch Digital en 6 pasos con T-Marker™

#1 Detectar.

Captura la posición de los implantes detectando los T-Markers con el iPad, siguiendo una guía visual hasta completar el registro al 100%.

#2 Guardar y enviar.

Guarda el caso directamente en la plataforma y envíalo al laboratorio o equipo de trabajo desde el propio entorno digital.

#3 Exportar .STL

Genera el archivo STL del caso y compártelo fácilmente mediante AirDrop, email o descarga directa.

#4 Importar.

Importa los datos en el software CAD junto con la información gingival obtenida mediante escáner intraoral.

#5 CAD.

Diseña la prótesis sobre una base precisa, sin necesidad de compensar errores de registro.

#6 Entrega

Produce y entrega la prótesis con ajuste pasivo real desde la primera prueba clínica.

Descarga Tu Full Arch Workflow con T-Marker™

La sinergia perfecta T-Marker™ + Alpha Arch

Los MUAs Alpha Arch, la nueva generación de Multi-Unit de Alpha-Bio Tec, se integran de forma natural en este flujo gracias a su anatomía, diseñada bajo la filosofía “menos titanio, más tejido blando”. Este concepto favorece una mejor adaptación de los tejidos periimplantarios y crea una combinación óptima entre el entorno digital y la preparación biológica de las encías para la prótesis, contribuyendo a resultados más estables, estéticos y predecibles en rehabilitaciones Full-Arch. Esta línea, también disponible en Alpha-Bio Iberia fue concebida para restauraciones múltiples y arcadas completas.

Con pilares de distintos diámetros, Ø 4.8 mm y Ø 3.5 mm (el diámetro estrecho se ha diseñado pensando en aquellas rehabilitaciones donde hay poco hueso), angulaciones y alturas gingivales, también ofrece versatilidad protésica, compatibilidad con la Conexión Cónica Estándar (CS), Conexión Cónica Estrecha (CHC) y Conexión Hexagonal Interna (IH) de Alpha-Bio Tec y un sistema completo de componentes: pilares provisionales, calcinables, scan bodies, transfers, análogos y copings entre otros.

Al combinar Alpha Arch con T-Marker™, se potencia al máximo la biomecánica y la estética: una restauración atornillada, estable, con ajuste pasivo, menor estrés mecánico y un flujo de trabajo totalmente digital. Esto resulta especialmente relevante en pacientes edéntulos o rehabilitaciones full-archacta de los MUAs a partir de un área de escaneado mínima, evitando capturas largas y eliminando los errores derivados del stitching.

T-Marker captura

Alpha Arch estabiliza

El flujo se vuelve predecible

Cuando T-MArker™ captura la posición exacta de los MUAs Alpha Arch, todo el sistema trabaja a tu favor. La combinación de estabilidad mecánica, estética predecible y exactitud digital crea un flujo protésico imbatible para rehabilitaciones Full-Arch. El resultado son estructuras más seguras, un proceso clínico más rápido y restauraciones fieles al diseño original, reduciendo al mínimo los ajustes y las posibles tensiones.

Para garantizar esta precisión en todo tu flujo CAD/CAM, puedes trabajar directamente con las Librerías Digitales oficiales de Alpha-Bio Tec, disponibles para los principales softwares de diseño. Accede aquí a las Librerías Digitales de Alpha-Bio Tec.

Librerías Digitales de Alpha-Bio Tec para T-Marker™

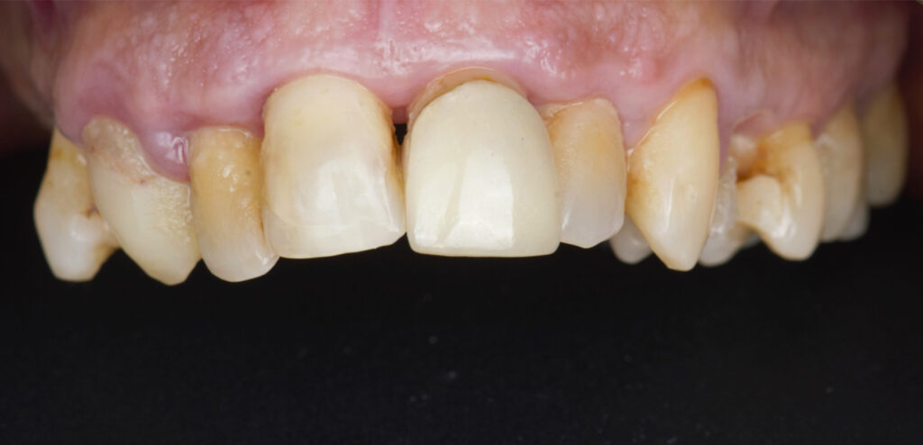
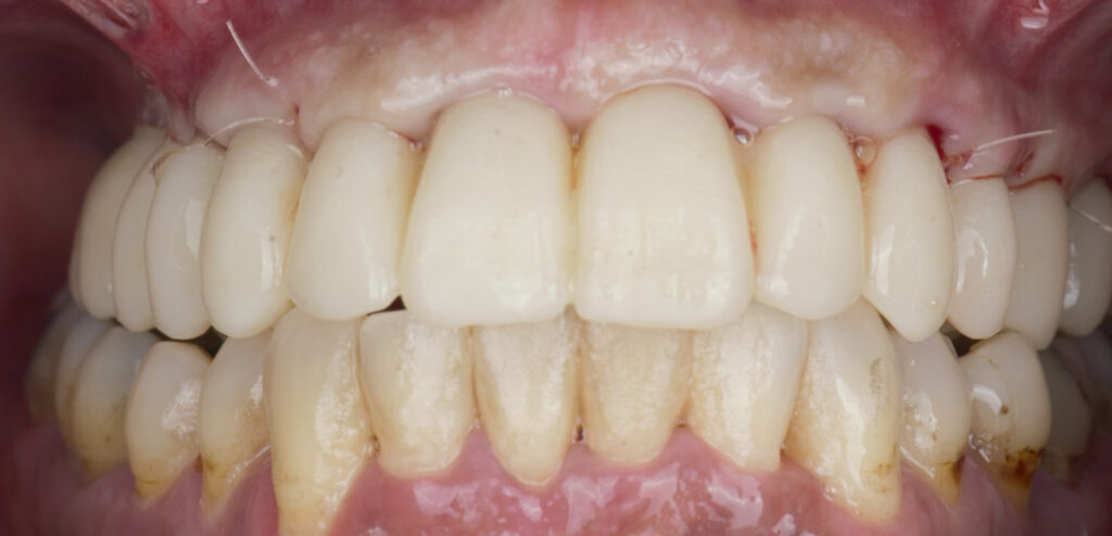
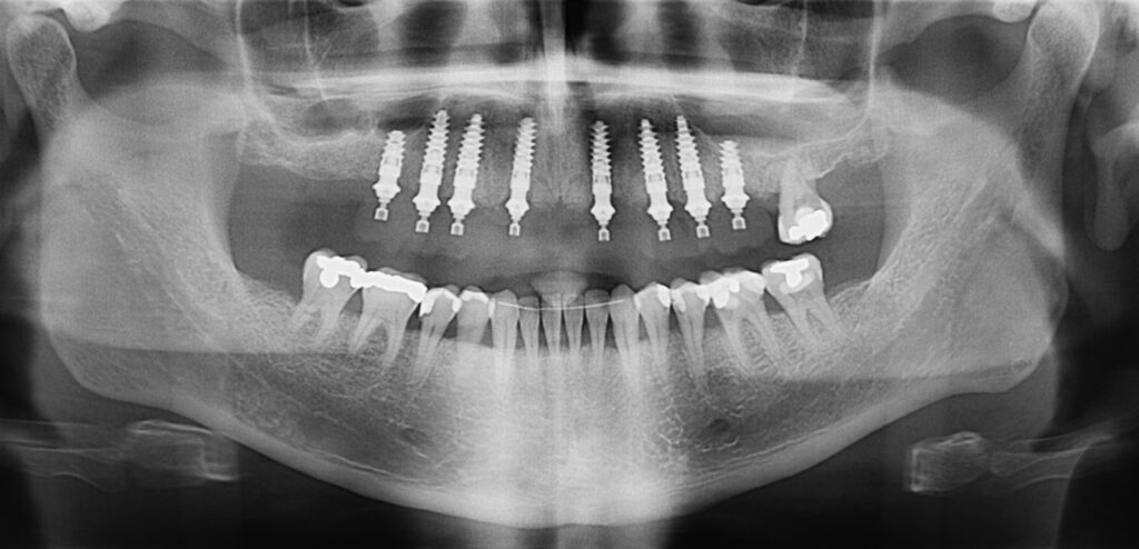
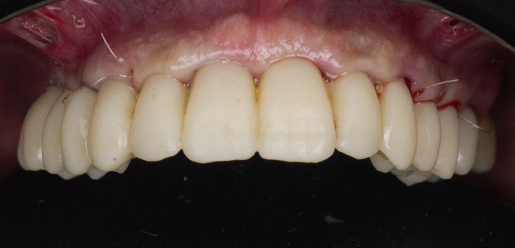
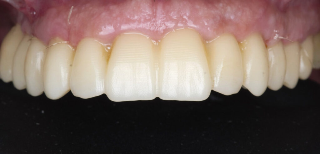
Caso clínico, Dr. José Amador Cabezas

Carga inmediata maxilar con cirugía guiada, registro fotogramétrico y provisionalización inmediata.

En este caso, el Dr. José Amador Cabezas aborda la rehabilitación completa de un maxilar superior comprometido por enfermedad periodontal avanzada, lesiones periapicales y múltiples restauraciones fallidas.

Tras la planificación protésicamente guiada y la colocación de implantes mediante cirugía guiada, se realizó el registro fotogramétrico con T-Marker sobre los Multi-Unit para capturar con precisión la posición real de los implantes y asegurar la pasividad de la estructura provisional.

Gracias a este flujo, el paciente pudo salir de la consulta con una prótesis fija inmediata el mismo día de la cirugía, iniciando así un proceso restaurador más preciso, más predecible y completamente integrado en el entorno digital.

Dr. José Amador Cabezas

La combinación de cirugía guiada, fotogrametría y carga inmediata permite un control preciso de la posición implantaria y una correcta pasividad protésica desde el primer día.

Beyond Digital

Un flujo de trabajo 100% digital donde la precisión del registro permite convertir una rehabilitación dental, completa o unitaria, en una rehabilitación inmediata, estable y predecible.

¿Por qué elegir T-Marker con Alpha-Bio Iberia?

Tecnología exclusiva con Alpha-Bio Iberia

T-Marker™ solo puede adquirirse a través de Alpha-Bio Iberia, lo que te permite ofrecer un servicio diferencial y posicionarte como una clínica avanzada en flujo digital. Una ventaja competitiva real que pocos pueden ofrecer

Soporte especializado en cada paso

Nuestro equipo te guía desde la primera demostración hasta la integración completa del workflow. Resolución rápida de dudas, asesoramiento clínico y soporte continuo para que lo adoptes con total seguridad.

Formación para dominar el flujo digital

Accede a sesiones formativas donde aprenderás a usar ioConnect™ en casos reales: configuración, captura, alineación y exportación. Una curva de aprendizaje sencilla y acompañada por Alpha-Bio Iberia desde el primer caso.

Acceso prioritario a contenido y mejoras

Recibe actualizaciones del software, materiales exclusivos, documentación avanzada y acceso prioritario a webinars y eventos especializados. Todo lo necesario para mantener tu clínica siempre un paso por delante.

Convierte tus casos Full-Arch en precisión real

Déjanos tus datos y tu consultor en innovación odontológica te llamará para aclarar todas tus dudas y explicarte cómo T-Marker™ mejora tu flujo de rehabilitación de arcada compelta.