Regeneración Ósea Guiada Horizontal con Membrana MatrixFlex y Combinando 50:50 de Xenoinjeto MAtrixOss con Hueso Autólogo
Paciente:
Mujer de 56 años sin antecedentes médicos relevantes.
Problema clínico:
La paciente presentaba una atrofia ósea horizontal (moderada a severa) en el 4 º cuadrante, debido a la extracción de piezas dentales con lesiones endo – periodontales.
Solución clínica:
Realizamos una Regeneración Ósea Guiada horizontal (ROG) en la zona del defecto, usando una membrana de colágeno MatrixFlex, añadiendo aproximadamente un 50% de hueso autógeno y 50% de xenoinjerto porcino MatrixOss.
Tras 6 – 8 meses realizaremos la reentrada en la regeneración y colocaremos los implantes 44 y 46. Posteriormente, haremos una modificación de los tejidos blandos para mejorar la mucosa queratinizada insertada, mediante un injerto epitelio conectivo libre en la zona regenerada.
Por último, realizaremos la colocación de la rehabilitación final del 44 al 46.
Productos:
- MatrixFlex 30 x 40
- MatrixOss granules / particle size: 0,25 – 1 mm
Ambos de Alpha-Bio Iberia.
Conclusión:
Cuando se nos presenta en nuestra consulta un caso de atrofia ósea, para conseguir regenerar el hueso reabsorbido, necesitamos aplicar la técnica de aumento óseo más indicada en relación al tipo de defecto.
En defectos horizontales, con este grado de atrofia (de moderada a severa) , es posible resolverlo mediante una regeneración ósea con membrana reabsorbible de colágeno, usando injerto autógeno y xenoinjerto en proporción 50:50, para conseguir así, regenerar el hueso perdido, pero además, debemos realizar un manejo de los tejidos blandos adecuado a posteriori, para lograr que los implantes estén rodeados no sólo de hueso, sino además, de mucosa queratinizada insertada, que promueva el mantenimiento y la estabilidad del hueso periimplantario a largo plazo.
Figura 1.
Pruebas radiográficas iniciales: Radiografía panorámica y CBCT (plano sagital), donde observamos el grado de atrofia ósea horizontal (moderada – severa) del defecto y su relación con el agujero mentoniano.
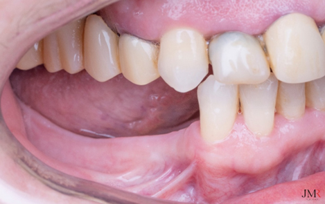
Figura 2.
Situación clínica inicial, donde se aprecia sobre todo, el componente horizontal de la atrofia y un espacio protésico reducido.
Figura 3.
Visión oclusal del defecto óseo después de elevar el colgajo mucoperióstico, donde se observa la perdida ósea horizontal.
Figura 4.
Visión lateral del defecto óseo, donde se observa la salida del nervio mentoniano y su relación con la zona que vamos a regenerar.
Figura 5.
Realizamos unas perforaciones corticales sobre el defecto, para promover la vascularización y la osteogénesis en el injerto óseo.
Figura 6.
MatrixOss, xenoinjerto porcino, en la batea metálica quirúrgica.
Figura 7.
La batea de la izquierda tiene hueso autógeno recolectado con rascador óseo desechable, y la derecha, se observa como el hueso autógeno está mezclado con el xenoinjerto porcino (MatrixOss)
Figura 8.
MatrixFlex, membrana de colágeno de peritoneo.
Figura 9.
Visión lateral durante la ejecución de la regeneración, usando la membrana Matriz Flex y la mezcla del injerto autógeno y xenógeno porcino (MatrixOss).
Figura 10.
Visión lateral con la regeneración terminada, realizando la Sausage Technique (Urban 2011).
Figura 11.
Visión oclusal de la regeneración realizada.
Figura 12.
Cicatrización de la zona a los 40 días.
Figura 13.
Collage de la situación inicial y la regeneración realizada usando MatrixFlex, MatrixOss e injerto autógeno.
Figura 14.
Comparación situación radiográfica inicial y tras realizar la regeneración ósea guiada (ROG).
